体癣的预防途径有哪些
来源:南昌中山皮肤病医院【专家在线咨询】

体癣的预防途径有哪些?一般情况下,体癣都是由于自身原本是足癣、手癣或是股癣的患者由来的,他们由于自己本身就带有真菌性皮肤病而传染进来;针对体癣一定要提高预防意识,以免自身感染引发体癣的发生,给我们的生活和工作带来不必要的困扰。那么,体癣的预防途径有哪些呢?还是让我们一起来听听皮肤病医院的专家对此的介绍。
据皮肤病医院的专家介绍:体癣又称“圆癣”或“金钱癣”,是由毛发癣菌、小芽孢菌或表皮癣菌引起。其传染来源主要是手癣,足癣,甲癣及污染的衣着等。潮湿,肥胖,多汗,摩擦,不注意清洁卫生,有糖尿病等及免疫力低下者易于发病。好发生于面、颈、躯干和四肢等部位。
由于体癣是可以传染的,预防体癣的传染可以从下面的五个途径着手:
预防途径一:积极治疗自身其他地方的皮肤病
如果体癣是由于某种全身性疾病引起机体抵抗力低下而发生的,则应该积极治疗,增强抵抗力。如果是由于长期服用皮质类固醇激素或免疫抑制剂而致体癣,则应在病情允许的情况下尽量少用或不用这些药物。
预防途径二:对于体癣切不可自行治疗
若体癣皮疹分布广泛,除应用外涂药物外可配合内服抗真菌药,常用的如灰黄霉素、酮康唑等。但这些药物有一定的副作用,如肝肾损害等,应在医生指导下服药,治疗期间定期查肝功能等。
预防途径三:对于皮质类固醇软膏慎用
也就是说不能外涂激素类药物。但体癣是真菌引起的,激素不能杀灭真菌,相反能促进其生长和繁殖,使癣病发展得更快、更严重。所以外用药也不能随意滥用。
预防途径四:体癣治疗贵在坚持。
许多药物都可以治疗体癣,但有些患者换遍了各种药物还是治不好,这主要是由于方法不当。外用药治癣病简单易行,但必须坚持每日涂药2~3次,涂药范围要稍大于皮损面积,而且即使皮疹消退、瘙痒不明显了还要坚持一段时间。千万不要三天打鱼两天晒网,就好象斩草没有除根一样,病情虽可暂时缓解,但遇到适宜的条件就会春风吹又生了。那么,体癣怎么治疗?点击下方在线咨询
预防途径五:积极消灭传染源
因体癣大都由自身其他癣病而引起,故治疗体癣的同时要治疗其他部位的癣病,如头癣、手癣、足癣等。还应避免与其他患有癣病的人或动物接触,否则即使治疗好了体癣也会因再次感染真菌而复发。
温馨提醒:治疗皮肤疾病一定要及早到专业正规医院,切勿擅自用药或偏方,以免治疗不当加重病情。如有疑问或其它方面的问题,点击咨询在线专家。
南昌中山皮肤病医院针对体癣的治疗采用了“消癣净毒疗法”治疗,其治疗优势:
我院治疗体癣引进的可调式中药熏蒸治疗仪
迅速吸收,效持久,物直接作用于脏腑及血液;能将病灶的病损组织彻底去除,切断遗传源,捣毁病菌繁殖环境;能改善皮肤微循环,促进新陈代谢,激活组织新 生,恢复皮肤表层及深层的受损组织;恢复皮肤正常生理功能,重新组建被破坏中断的血管网,恢复正常血运,使病区皮肤营养供给正常,增强抵抗力和免疫力;无 论病史长短,患者面积大小,何种类型,均可在短期内使皮肤痒感消失,除屑消斑,肌肤迅速恢复正常,光洁滑润;极易进入血液消除血中毒素,有效抑制核糖核酸 活力,从根本上控制手足体癣不再复发。>>>点击向专家进行咨询<<<
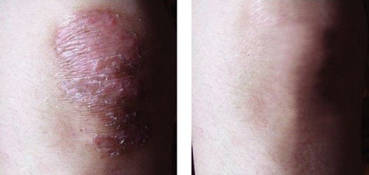
【成功案例】:

体癣治疗前后的对比图
想解除心理烦恼,不如点击免费咨询在线专家
以上是南昌中山皮肤病医院的专家关于“体癣的预防途径有哪些?”的介绍,希望能给体癣患者带来帮助。医院和诊所,上网登记预约系统,在网站上注册成功后,专家挂号费减免和送福利。治疗更加方便的预约时间,省麻烦,排队看专科医生。
在线咨询预约就诊优势:
★在线免费咨询——权威皮肤病专家24小时在线一对一“问诊”
★提前预约挂号——免专家挂号费、免会诊费、优先就诊,轻松就医。
★假日专家门诊——方便患者休息日看病,不影响上班,提供更人性化服务。
医院电话:0791-88116677 接诊时间: 8:00-17:30(节假日不休)
QQ:77891588
医院地址:江西省南昌市西湖区站前西路49号、173号
乘车路线:乘坐5路、6路、18路内线、18路外线、26路内环、26路外环、206路、219路长班空调、221路空调、225路长班空调、 230路空调、233长班、233路、305路、305夜、310路、316路到市公交总公司下车即可。
自家车线路:江西省南昌市西湖区站前西路49号、173号即到。
- 上一篇:怎样做才能预防体癣的出现
- 下一篇:体癣应该怎么预防
- ★★★★★
- 5.0
- 5.0
- 5.0
- 我要评论










科室一览










