荨麻疹与风疹

来源:南昌中山皮肤病医院【专家在线咨询】

荨麻疹和风疹有什么区别?南昌中山白癜风医院的专家指出现在随着天气的变化,荨麻疹患者是越来越多,很多患者由于对荨麻疹不是特别的了解,但是对于此病的治疗患者需要正确辨证诊断就治,那么荨麻疹有什么症状呢?荨麻疹和风疹有什么区别?

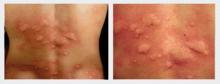
对比图
风疹与荨麻疹

荨麻疹的症状有哪些?荨麻疹:是一种过敏性皮肤病,一般也多见于秋冬季等大风的天气。风带来的过敏原极易引起发病,同时,常见的一些食物也会引起发病。发病时,在皮肤表面会突起很多像被蚊虫叮咬的大包,由少到多,成片出现,一般一小时内会自动消退。

风疹的症状有哪些?风疹:是一种病毒引起的急性呼吸道传染病,多发于冬春季节,传染性很强,一般通过空气飞沫传播。疹在冬季最为多见。大风降温之后,就开始感觉有发热、咳嗽等上呼吸道感染的症状,后来发展为全身皮疹,瘙痒难忍。

通过以上专家的介绍,我们可以了解到这两种疾病的发生虽然那没有跟大风有直接关系,不过也是有着必然的联系,而且它们的危害性还是很大的。严重的急性荨麻疹还可以发生在喉头,造成喉头水肿,影响呼吸道的畅通,容易造成呼吸障碍,缺氧综合症等一系列缺氧常见的症状,会严重影响脏器的功能,而导致更严重的并发症。

南昌中山白癜风医院的专家指出,荨麻疹影响患者的生活,以前人们对皮肤病了解不多,认为皮肤病均是小毛病,不必重视,所以生了荨麻疹后尤其是慢性荨麻疹采取无所谓的态度,这是不正确的。我们知道荨麻疹不是小毛病,严重时同样可以造成呼吸道阻塞引起窒息或出现心慌、大汗、血压下降等过敏休克的表现。

更重要的是慢性荨麻疹病人的潜在病因,可能就是其他更严重的内科疾病的表现之一,如系统性红斑狼疮、甲状腺功能亢进症、白血病、内脏肿瘤等。

专家在线咨询

【推荐疗法】南昌中山皮肤病医院“3T通调疗法”彻底治疗荨麻疹

“3T通调疗法”根据中医“病在肌肤,根在血液,治血必治脏”的理论,采用医外治法(穴位介入、净血疗法)、免疫调节系统和中药熏蒸法完美融合的中医治疗理念,采用现代生物工程技术与中医的草本化和西医的现代化联合应用。针对各种不同原因所致的皮炎、湿疹、荨麻疹,采用个性化临床治疗方案,可以彻底治疗各种皮炎、湿疹、荨麻疹。

【温馨贴士】为了更好的预防和治疗皮肤病,患者最好能亲临本中心,专家会为您进行全面诊断,然后制定最适合您的治疗方案!如果您有更多健康问题,欢迎点击咨询在线专家

上一篇:各种会引发荨麻疹的过敏源
下一篇:什么是巨型荨麻疹
| 患者点评
★★★★★
5.0
5.0
5.0
我要评论
发表评论 X

总体评价:

服务满意度:
请打分
环境满意度:
请打分
医生满意度:
请打分
今日在线专家坐诊

梁明成  主治医生

科室皮肤科

擅长牛皮癣、皮肤过敏....[详细]

(已有3062人咨询)

黄汉明  执业医师

科室皮肤科

擅长痤疮、黄褐斑....[详细]

(已有5186人咨询)

就诊指南

医患问答

识别荨麻疹的方法有哪些?
识别荨麻疹的方法有哪些?荨麻疹是一种非常常见的过敏……[详细]
荨麻疹的特殊类型有哪些?
荨麻疹的特殊类型有哪些?荨麻疹是一种非常寻常的皮肤……[详细]
荨麻疹患者不能吃什么
荨麻疹患者不能吃什么?荨麻疹是生活中极为常见的一种……[详细]
荨麻疹到底会不会遗传?
荨麻疹到底会不会遗传?荨麻疹是很让人困扰的,荨麻疹……[详细]
专家团队
  • 黄汉明
    职称:执业医师
    擅长:痤疮、色斑、湿疹、皮炎...点击咨询
  • 梁明成
    职称:主治医生
    擅长:白癜风、牛皮癣、脱发...点击咨询
在线挂号
患者姓名:
*
联系方式:
*
预约时间:
*
目前病情:
*
验证码:
看不清?点击更换 *
帮您提前预约专家
24小时在线服务
快速解决您的疑问