ÄÒÖ×ÐÔðî´¯µÄÖ¢×´¼«Æäìî³ý
À´Ô´£ºÄϲýÖÐɽƤ·ô²¡Ò½Ôº¡¾×¨¼ÒÔÚÏß×Éѯ¡¿

ÄÒÖ×ÐÔðî´¯·¢²¡ÈËȺÖ÷ÒªÒÔ16-18ËêµÄÇàÉÙÄê×î³£¼û¡£Ö²¡ÒòËØ¿ÉÄÜÓ볤ÆÚ·þÓÃijЩҩÎ³¤ÆÚ½Ó´¥ÓÍÖ¬£¬Ä³Ð©»¯Ñ§ÎïÖʼ°ºÈ¾Æ»òÕßϲʳÐÁÀ±´Ì¼¤Ê³ÎïÓйء£Ö¢×´±íÏÖÒÔºÚÍ··Û´ÌºÍ°×Í··Û´ÌΪÖ÷¡£ÏÂÃæÓÉר¼Ò½éÉÜÏÂÄÒÖ×ÐÔðî´¯µÄÖ¢×´¼°ìî³ý£¬½ö¹©´ó¼Ò²ÎÕÕ¡£

>>>ÏëÁ˽â¸ü¶àÇëµã»÷Óëר¼ÒÒ»¶ÔÒ»½»Á÷<<<
ÄÒÖ׵IJ¡ÒòÊÇÓÉÓÚëÄÒ¿Ú¶ÂÈû£¬·¢Éú½á½ÚµÈË𻵣¬¼ÓÉÏÖÜΧÑ×ÐÔ½þÈó£¬Ê¹Æ¤Ö¬ÏÙÆÆ»µ£¬·ÖÃÚÎïäóÁô£¬Ã«ÄÒÀ©ÕÅ¡£ÄÒÖ×ÐÍðî´¯¸øÈË´øÀ´Á˺ܶෳÄÕ¡£ÒÔÏÂר¼Ò¾ÍÏêϸµÄΪÄú½éÉÜÁËÄÒÖ×ÐÍðî´¯µÄÖ¢×´Óëìî³ý¡£
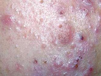
ÄÒÖ×ÐÔðî´¯µÄÖ¢×´Óëìî³ý(Ö¢×´)£º
ÄÒÖ×ÐÔðî´¯³õÆðË𺦶àΪºÚÍ··Û´Ì£¬¼ÓÒÔ¼·Ñ¹£¬¿É¼ûÓÐÍ·²¿³ÊºÚÉ«¶øÌ岿³Ê»Æ°×É«°ë͸Ã÷µÄ֬˨Åųö£¬Æ¤Õî¶¥¶Ë¿É³öÏÖСŧðå£¬ÆÆÀ£»òÎüÊÕºóÒÅÁôÔÝʱÐÔÉ«ËØ³Á×Å»òС°¼×´°ÌºÛ¡£ÉÙÊýÑÏÖØ»¼Õߣ¬³ýºÚÍ··Û´Ì¡¢ÇðÕŧðåÍ⣬ÉпɼûÓв϶¹ÖÁÖ¸¼×´óµÄÑ×ÐÔ½á½Ú»òÄÒÖס£¸÷ÖÖË𺦴óСÉîdz²»µÈ£¬ÍùÍùÒÔÆäÖÐ1¡¢2ÖÖË𺦱íÏÖΪÖ÷£¬ºÃ·¢ÓÚÑÕÃæ¡¢Ðر³²¿¶àÖ¬Çø£¬Å¼¶ûÒ²·¢ÉúÓÚÆäËü²¿Î»£¬¶Ô³Æ·Ö²¼£¬ÑÕÃæÖÐÑëÓÈÆäÊDZDz¿¼°ÑÛ¿ôÖÜΧ³£²»ÊÜÇÖ·¸£¬¶àÎÞ×Ô¾õÖ¢×´£¬ÈôÑ×Ö¢ÖøÃ÷ʱÔò¿ÉÒýÆðÌÛÍ´¼°´¥Í´¡£Çà´ºÆÚºó´ó¶àÊý²¡È˾ùÄÜ×ÔȻȬÓú»òÖ¢×´¼õÇá¡£
¡¾ÍƼöÁÆ·¨¡¿“ÖÐÒ©¹â¶¯Á¦»úÌåÁÆ·¨”ÖÎðî´¯Óúºó¸ü×ÔÐÅ
ºìÀ¶¹â¶¯Á¦ÖÎÁÆðî´¯µÄ¹ý³ÌÖÐ
ÖÐÒ©¹â¶¯Á¦»úÌåÁÆ·¨ÊÇÔËÓÃÈý´óðî´¯ÖÎÁƼ¼Êõ£º¶¯Á¦ºìÀ¶¹â¼¼Êõ¡¢ÖÐÒ½Ò©ÎïÕôÆûÁÆ·¨¡¢ÖÐҩʯ¸àµ¹Ä¤ÁÆ·¨£¬ÖÐÎ÷Ò©ÄÚµ÷£¬´ïµ½Ï¸°ûÐÞ¸´µÄ¹¦Ð§¡£¶Ô¸÷ÆÚ¸÷ÀàÐÍðî´¯¡¢ðî´¯Ó¡¼Ç¡¢ðî´¯°¼°ÌµÈ¾ù¿É½øÐÐÈ«ÃæÏµÍ³Á¢Ì廯µÄ·ÖÐÍÕïÁÆ£¬²»Í¬ðî´¯¸ø³ö²»Í¬µÄ¸öÐÔ»¯ÖÎÁÆ·½°¸£¬Ç§´¯Ç§ÖΣ¬ÈÃðî´¯»¼ÕßÔÚ¶ÌÆÚÄÚ¼´¿ÉʵÏÖ³¹µ×ÖÎÓúµÄÄ¿µÄ¡£
¸ÃÁÆ·¨ÖÐÎ÷Ò½½áºÏ£¬ÓÉÄÚ¶øÍ⣬˫¹ÜÆäÏ£¬ÉúÎïϸ°û¸ßÐÔÄÜÐÞ¸´£¬¿Éͬʱ´ïµ½ÅŶ¾£¬É±¾ú£¬ÒÖ¾ú¡¢ÐÞ¸´ÊÜËðϸ°û¡¢»Ö¸´Æ¤·ôÉú̬ƽºâ¡¢È¥¶»²»ÁôºÛµÄ¶àÖØ¹¦Ð§£¬¶øÇÒ¶Ôðî´¯¸÷ÆÚ£¬ðî´¯Ó¡¼Ç£¬ðî´¯°¼°Ì¾ù¿É½øÐÐÈ«ÃæÏµÍ³µÄÐÞ¸´¡£¾¹ý½üÊ®ÄêµÄÁÙ´²Êµ¼ùÓë¿ÆÑ§ÂÛÖ¤£¬Öڶ໼ÕßÔÚ¶ÌÆÚÄÚʵÏÖÁ˳¹µ×¸ùÖεÄÄ¿µÄ£¬ÖÎÓúÂʸߴï97.3%¡£
¡ïÄϲýÖÐɽƤ·ô²¡Ò½Ôº365ÈÕÎÞ¼ÙÈÕÒ½Ôº£¬ÊշѺÏÀí¼Û¸ñ¹«¿ªÍ¸Ã÷;×öµ½ÈÃÿһλ»¼ÕßÔÚÒ½Ôº¾ÍҽʱÃ÷Ã÷°×°×Öβ¡¡¢·Å·ÅÐÄÐÄÖÎÁÆ¡£ÖÐɽƤ·ô²¡Ò½ÔºÒªÇóÒ½Éú±¾×Å“»¨×îÉÙµÄÇ®£¬´ïµ½×îºÃÖÎÁÆÐ§¹û”µÄÔÔò£¬ÓÈÆäΪÂú×ã¹ã´óµÍÊÕÈëÈËȺµÄÒ½ÁƱ£½¡ÐèÇó£¬Ö÷¶¯¼á³Öƽ¼ÛÊÕ·Ñ£¬Ñϸñ¿ØÖÆ´ó´¦·½¡¢´ó¼ì²é£¬²¢Êý´Î½µµÍ´óÐÍÕïÁÆÏîÄ¿µÄÊշѱê×¼£¬Å¬Á¦´òÔì“°ÙÐÕ·ÅÐĵį½¼ÛÆ·ÅÆÒ½Ôº”
ÄϲýÖÐɽƤ·ô²¡Ò½ÔºÊÇÈ«¹úÊ®¼ÑƤ·ô²¡Ò½Ôº£¬ÄϲýÊÐÖØµãƤ·ô²¡ÕïÁÆÖÐÐÄ£¬¶à´ÎÊܵ½ÄϲýÊÐÎÀÉú¾ÖµÈÏà¹Ø²¿Ãŵļν±ºÍ¹ÄÀø£¬²¢»ñµÃÐí¶àµÄÈÙÓþ³ÆºÅ!
ÄÒÖ×ÐÔðî´¯µÄÖ¢×´Óëìî³ý£¬ÒÔÉÏר¼ÒÒÑΪÄú×öÁËÏêϸ½éÉÜ£¬Ï£Íû¶ÔÄúÓаïÖú¡£ÁíÍ⣬ר¼ÒÌáÐÑ»¼ÕßÔÚìî³ýµÄͬʱһ¶¨Òª×öºÃÄÒÖ×ÐÍðî´¯µÄ»¤Àí£¬ÒÔʹÄúÔçÈÕ¿µ¸´¡£
ÎÂܰÌáʾ£ºÒÔÉÏÊÇÄϲýÖÐɽƤ·ô²¡Ò½Ôº¹ØÓÚ£º"ÄÒÖ×ÐÔðî´¯µÄÖ¢×´¼«Æäìî³ý"µÄÏà¹Ø½éÉÜ£¬ÈçÓöÇà´º¶»µÄÀ§ÈÅ£¬Äú¿ÉÒÔµã»÷ÔÚÏß×Éѯ£¬Ãâ·Ñ×ÉѯìȨÍþר¼Ò¡£
¡¡ÎÂܰÌáʾ£ºÄϲýÖÐɽƤ·ô²¡Ò½Ôº»ã¾ÛÈ«¹úƤ·ô¿ÆÃûÒ½£¬Òý½øÒ»Á÷µÄÕïÁÆÉ豸£¬´òÔ컪¶«µØÇø“ר²¡¡¢×¨Ò½¡¢×¨ÖΔ×îרҵµÄƤ·ô²¡ÕïÁÆ»ùµØ¡£ÎªÁËÂú×㻼ÕߵľÍÒ½ÐèÇó£¬ÌØ¿ªÍ¨ÁËÃâ·ÑÍøÉÏ×ÉѯÓëÔ¤Ô¼£¬¸ü¼Ó·½±ã¿ì½ÝµÄΪ»¼Õß·þÎñ¡£ÍøÂçÈ«ÌìºòÕï£¬ÍøÉϹҺÅÖ±½Ó¾ÍÕÎÞÐèµÈºò£¬Îª¹ã´ó»¼Õß½Úʡʱ¼ä¡£
ÔÚÏß×ÉѯԤԼ¾ÍÕïÓÅÊÆ£º
¡ïÔÚÏßÃâ·Ñ×Éѯ——ȨÍþƤ·ô²¡×¨¼Ò24СʱÔÚÏßÒ»¶ÔÒ»“ÎÊÕï”
¡¡¡ïÌáǰԤԼ¹ÒºÅ——Ãâר¼Ò¹ÒºÅ·Ñ¡¢Ãâ»áÕï·Ñ¡¢ÓÅÏȾÍÕÇáËɾÍÒ½¡£
¡¡¡ï¼ÙÈÕר¼ÒÃÅÕï——·½±ã»¼ÕßÐÝÏ¢ÈÕ¿´²¡£¬²»Ó°ÏìÉϰ࣬Ìṩ¸üÈËÐÔ»¯·þÎñ¡£
¡¡Ò½Ôºµç»°£º0791-88116677 ½ÓÕïʱ¼ä£º 8:00-17:30(½Ú¼ÙÈÕ²»ÐÝ)
¡¡QQ£º77891588
¡¡Ò½ÔºµØÖ·£º½Î÷Ê¡ÄϲýÊÐÎ÷ºþÇøÕ¾Ç°Î÷·49ºÅ¡¢173ºÅ
¡¡³Ë³µÂ·Ïߣº³Ë×ø5·¡¢6·¡¢18·ÄÚÏß¡¢18·ÍâÏß¡¢26·ÄÚ»·¡¢26·Íâ»·¡¢206·¡¢219·³¤°à¿Õµ÷¡¢221·¿Õµ÷¡¢225·³¤°à¿Õµ÷¡¢ 230·¿Õµ÷¡¢233³¤°à¡¢233·¡¢305·¡¢305Ò¹¡¢310·¡¢316·µ½Êй«½»×ܹ«Ë¾Ï³µ¼´¿É¡£
×Ô¼Ò³µÏß·£º½Î÷Ê¡ÄϲýÊÐÎ÷ºþÇøÕ¾Ç°Î÷·49ºÅ¡¢173ºÅ¼´µ½¡£
- ÉÏһƪ£ºÅ§ðåÐÍðî´¯Ôõôìî³ý×îÓÐЧ
- ÏÂһƪ£ºÄÒÖ×Ð͵Äðî´¯µÄ·¢Õ¹¹ý³Ì¼°ìî³ý·½·¨
- ¡ï¡ï¡ï¡ï¡ï
- 5.0
- 5.0
- 5.0
- ÎÒÒªÆÀÂÛ










¿ÆÊÒÒ»ÀÀ










