È·ÕïÝ¡ÂéÕîÐè³¹µ×Çå²éÖ¢×´

À´Ô´£ºÄϲýÖÐɽƤ·ô²¡Ò½Ôº¡¾×¨¼ÒÔÚÏß×Éѯ¡¿

Ý¡ÂéÕË׳Ɠ·çÍÅ”£¬ÊÇÒ»ÖÖ³£¼ûµÄƤ·ô¹ýÃôÐÔ¼²²¡¡£ÓÐ20%µÄÈ˶¼»¼¹ýÝ¡ÂéÕºÜ¶à»¼ÕßÓÉÓÚÕï¶Ï²»Ã÷£¬ÖÎÁƲ»µ±£¬Ôì³É²¡³ÌǨÑÓ·´¸´£¬Öð²½ÑݱäΪÂýÐÔÝ¡ÂéÕƤ·ô²¡×¨¼ÒÖ¸³ö£¬Ý¡ÂéÕî¿É·¢ÉúÔÚÉíÌåµÄÈκβ¿Î»£¬Æð²¡¼±£¬¶øÇÒºÜÑ÷£¬ÓëһЩ¼²²¡µÄÖ¢×´»áÈÝÒ×»ìÏý¡£Òò´Ë£¬»¼ÓÐÝ¡ÂéÕîÐè³¹µ×ÅŲéÖ¢×´£¬¶ÔÖ¢ÖÎÁÆ¡£

Ý¡ÂéÕî
È·ÕïÝ¡ÂéÕîÐè³¹µ×Çå²éÖ¢×´

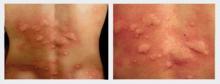
ѰÂéÕîµÄÖ¢×´£º

1¡¢Ý¡ÂéÕî¿É·¢ÉúÔÚÉíÌåµÄÈκβ¿Î»£»

2¡¢Æð²¡½Ï¼±£¬Æ¤·ôÍ»·¢ðþÑ÷£¬Ëæ¼´³öÏÖ·çÍÅ£¬³ÊÏʺì»ò²Ô°×É«¡¢Æ¤·ôÉ«£»

3¡¢·çÍÅ´óСºÍÐÎ̬²»Ò»£»

4¡¢·çÍų£·º·¢È«Éí£¬Ò²¿ÉÔÚij¸ö¾ÖÏÞ²¿Î»£»

5¡¢·çÍÅÔÚÊýСʱºó¼´¿ÉÏûÍË£¬Ò»°ã²»³¬¹ý24Сʱ£¬ÏûÍ˺ó²»ÁôºÛ¼££»

6¡¢ÓоçÑ÷¡¢ÉÕׯ¸Ð»ò´ÌÍ´¸Ð£»

7¡¢¾ÉµÄ·çÍÅÏûÍË£¬ÐµķçÍÅ¿ÉÂ½Ðø·¢Éú£¬´ËÆð±Ë·ü£¬ÓÐʱһÌì·´¸´¶à´Î£»

8¡¢²¡ÇéÑÏÖØµÄ¿É°éÓÐÐĻš¢·³Ôê¡¢¶ñÐÄ¡¢Å»Í¡¢¸¹Í´¡¢¸¹Ðº¡¢ºíÍ·Ë®Öס¢Æø´Ù¡¢ºôÎüÀ§ÄÑ¡¢ÖÏÏ¢¡¢ÑªÑ¹Ï½µ¡¢¹ýÃôÐÔÐݿ˵ȣ»

9¡¢²¡³Ì²»³¬¹ý6ÖܳÆÎª¼±ÐÔÝ¡ÂéÕ´ï6ÖÜÒÔÉϵijÆÎªÂýÐÔÝ¡ÂéÕî¡£

ר¼ÒÖ¸³ö£¬»¼ÓÐÝ¡ÂéÕ»¼Õ߯æÑ÷£¬ÌرðÊÇÔÚÒ¹¼ä£¬ðþÑ÷¸üÖØ£¬Ó°Ï컼Õß˯ÃßÖÊÁ¿£¬½ø¶øÓ°ÏìÆäÕý³£µÄÉú»î¼°¾«Éñ״̬£»Ý¡ÂéÕî»áÒýÆð¶ñÐÄ¡¢Å»Í¡¢¸¹ÐººÍ¸¹Í´µÈ賦µÀ¹¦Äܼ²²¡£»Ý¡ÂéÕÇéÑÏÖØÕߣ¬°éÓÐÐĻš¢·³ÔꡢѪѹ½µµÍµÈ¹ýÃôÐÔÐÝ¿ËÖ¢×´£¬Î£¼°ÉúÃü½¡¿µ¡£Òò´Ë£¬»¼ÓÐÝ¡ÂéÕîÐ輰ʱµ½Õý¹æÒ½Ôº½ÓÊÜ¿ÆÑ§ÁÆ·¨µÄÖÎÁÆ¡£

ר¼ÒÔÚÏß×Éѯ

¡¾ÍƼöÁÆ·¨¡¿ÄϲýÖÐɽƤ·ô²¡Ò½Ôº“3Tͨµ÷ÁÆ·¨”³¹µ×ÖÎÓú¸÷ÖÖÝ¡ÂéÕî

“3Tͨµ÷ÁÆ·¨”¸ù¾ÝÖÐÒ½“²¡ÔÚ¼¡·ô£¬¸ùÔÚѪҺ£¬ÖÎѪ±ØÖÎÔà”µÄÀíÂÛ£¬²ÉÓÃÒ½ÍâÖ稣¨Ñ¨Î»½éÈë¡¢¾»ÑªÁÆ·¨£©¡¢ÃâÒßµ÷½ÚϵͳºÍÖÐҩѬÕô·¨ÍêÃÀÈںϵÄÖÐÒ½ÖÎÁÆÀíÄ²ÉÓÃÏÖ´úÉúÎ﹤³Ì¼¼ÊõÓëÖÐÒ½µÄ²Ý±¾»¯ºÍÎ÷Ò½µÄÏÖ´ú»¯ÁªºÏÓ¦Óá£Õë¶Ô¸÷ÖÖ²»Í¬Ô­ÒòËùÖÂµÄÆ¤Ñס¢ÊªÕݡÂéÕ²ÉÓøöÐÔ»¯ÁÙ´²ÖÎÁÆ·½°¸£¬¿ÉÒÔ³¹µ×ÖÎÁƸ÷ÖÖÆ¤Ñס¢ÊªÕݡÂéÕî¡£

¡¾ÎÂܰÌùÊ¿¡¿ÎªÁ˸üºÃµÄÔ¤·ÀºÍÖÎÁÆÆ¤·ô²¡£¬»¼Õß×îºÃÄÜÇ×ÁÙ±¾ÖÐÐÄ£¬×¨¼Ò»áΪÄú½øÐÐÈ«ÃæÕï¶Ï£¬È»ºóÖÆ¶¨×îÊʺÏÄúµÄÖÎÁÆ·½°¸£¡Èç¹ûÄúÓиü¶à½¡¿µÎÊÌ⣬»¶Ó­µã»÷×ÉѯÔÚÏßר¼Ò¡£

ÉÏһƪ£º°×ñ°·ç»á²»»áÒ»¶¨ÒÅ´«¸øÏÂÒ»´ú
ÏÂһƪ£º°×ñ°·ç»¼ÕߺÎʱ³ÔË®¹û×î¼Ñ
| »¼ÕßµãÆÀ
¡ï¡ï¡ï¡ï¡ï
5.0
5.0
5.0
ÎÒÒªÆÀÂÛ
·¢±íÆÀÂÛ X

×ÜÌåÆÀ¼Û£º

·þÎñÂúÒâ¶È£º
Çë´ò·Ö
»·¾³ÂúÒâ¶È£º
Çë´ò·Ö
Ò½ÉúÂúÒâ¶È£º
Çë´ò·Ö
½ñÈÕÔÚÏßר¼Ò×øÕï

ÁºÃ÷³É  Ö÷ÖÎÒ½Éú

¿ÆÊÒ£ºÆ¤·ô¿Æ

É󤣺ţƤѢ¡¢Æ¤·ô¹ýÃô....[Ïêϸ]

£¨ÒÑÓÐ3062ÈË×Éѯ£©

»ÆººÃ÷  Ö´ÒµÒ½Ê¦

¿ÆÊÒ£ºÆ¤·ô¿Æ

É󤣺ðî´¯¡¢»ÆºÖ°ß....[Ïêϸ]

£¨ÒÑÓÐ5186ÈË×Éѯ£©

¾ÍÕïÖ¸ÄÏ

Ò½»¼ÎÊ´ð

°×ñ°·çӦעÒâʲô
°×ñ°·çӦעÒâʲô? °×ñ°·çÊÇÒ»ÖÖÉ«ËØÍÑÂäµÄƤ·ôÐÔ²¡±ä¡­¡­[Ïêϸ]
°×ñ°·ç»¼Õ߯½Ê±Òª×¢Òâʲô
°×ñ°·ç»¼Õ߯½Ê±Òª×¢Òâʲô£¿ °×ñ°·çÒ»ÖÖÑÏÖØÓ°ÏìÈÝò¡­¡­[Ïêϸ]
°×ñ°·ç»¼ÕßÈÕ³£ÖÐÈçºÎ±£Ñø
°×ñ°·ç»¼ÕßÈÕ³£ÖÐÈçºÎ±£Ñø£¿°×ñ°·çÊdz£¼ûµÄÒ»ÖÖÍç¹ÌÐÔ¡­¡­[Ïêϸ]
Ϊʲô°×ñ°·ç¾ÃÖÎÄÑÓú£¿
Ϊʲô°×ñ°·ç¾ÃÖÎÄÑÓú£¿Õâ²»½öÊÇ»¼ÕßµÄÒÉÎÊ£¬Í¬Ê±Ò²ÊÇ¡­¡­[Ïêϸ]
ר¼ÒÍŶÓ
  • »ÆººÃ÷
    Ö°³Æ£ºÖ´ÒµÒ½Ê¦
    É󤣺ðî´¯¡¢É«°ß¡¢ÊªÕƤÑ×...µã»÷×Éѯ
  • ÁºÃ÷³É
    Ö°³Æ£ºÖ÷ÖÎÒ½Éú
    É󤣺°×ñ°·ç¡¢Å£Æ¤Ñ¢¡¢ÍÑ·¢...µã»÷×Éѯ
ÔÚÏß¹ÒºÅ
»¼ÕßÐÕÃû£º
*
ÁªÏµ·½Ê½£º
*
ԤԼʱ¼ä£º
*
Ŀǰ²¡Ç飺
*
ÑéÖ¤Â룺
¿´²»Ç壿µã»÷¸ü»» *
°ïÄúÌáǰԤԼר¼Ò
24СʱÔÚÏß·þÎñ
¿ìËÙ½â¾öÄúµÄÒÉÎÊ