南昌哪个医院荨麻疹好
来源:南昌中山皮肤病医院【专家在线咨询】

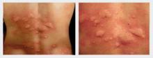
南昌哪个医院荨麻疹好,笔者推荐南昌中山皮肤病医院,南昌中山皮肤病医院在南昌有着17年的历史,作为南昌皮肤病专科公立医院,一直得到南昌人民的广泛好评。南昌中山皮肤病医院介绍过敏性荨麻疹俗是一种常见的皮肤病,是由于各种因素致使皮肤粘膜血管发生暂时性炎性充血与大量液体渗出,造成局部水肿性的损害而引起的。一般会出现全身大片红红的扁平疙瘩,痒的难受,发作突然,越挠越痒,不过好的也很快,来无踪去无影的。
这个病多是食物或环境中过敏原引起的,如进食鱼、虾、蟹、水果或坚果、牛奶、鸡蛋或药物引起的,有的是接触尘螨、花粉或霉菌引起的,装修、紫外线或接触化妆品也可引起的,当然也有与内分泌或药物有关的。原因不同,治疗和预防的方法就不同。
过敏性荨麻疹分类:急性荨麻疹和慢性荨麻疹
急性荨麻疹:起病常较急,皮肤突然发痒,很快出现大小不等的鲜红色风团,呈圆形、椭圆形或不规则形,多孤立散在,亦可融合成片。数小时内水肿减轻,风团变为红斑而渐消失,但新的风团陆续发生,此伏彼起,一日之内可多次发生。
慢性荨麻疹:全身症状一般较轻,风团时多时少,反复发生,常达数月或若干年之久。有的有时间性,如晨起或临睡前加重,有的则无一定规律。大多数患者不能找到病因,其病顽强难治。
过敏性荨麻疹怎么治疗?目前西医对荨麻疹尚无特效疗法,多采用以内服抗组胺药物,皮质激素类药物临时抑制为多,如口服西药,口服激素,外用溶液洗剂、乳剂、泥膏、油剂、软膏、乳剂、涂膜剂、酊剂及硬膏等。
如果为了避免停药后的痛苦,完全依赖于激素。会皮肤明显变薄,毛细血管扩张,有时出现紫癜等,特别是在面部可出现更深的持续性红斑。用激素时间越长、产生反跳性过敏也就越重。
多年来,南昌中山皮肤病医院的临床医生们,秉承严谨求实的科学态度和诚信求精的行医宗旨,凭借多年丰富的临床经验,国内领先的检验仪器和诊疗设备,自主研发了“3T通调疗法”治荨麻疹,在临床医疗实践中收到突出的成效,受到了患者的高度肯定。>>>点击向专家进行咨询<<<
温馨提示:有荨麻疹病史的人,要注意保持室内外的清洁卫生, 家中要少养猫、狗之类的宠物。避免吸入花粉、粉尘等。对风寒暑湿燥火及虫毒之类,要避而远 之。生活规律以适应外界环境的变化。喝酒、受热、情绪激动、用力等都会加重皮肤血管扩张, 激发或加重荨麻疹。橡皮手套、染发剂、加香料的肥皂和洗涤剂、化纤和羊毛服装等,对于过敏 体质的人或荨麻疹患者都可能成为不良刺激,应予避免。患寒冷性荨麻疹的人不要去海水浴场, 也不能洗冷水浴,冬季要注意保暖。
医院电话:0791-88116677 QQ:77891588 接诊时间: 8:00-17:30(节假日不休)
医院地址:江西省南昌市西湖区站前西路49号、173号
乘车路线:乘坐5路、6路、18路内线、18路外线、26路内环、26路外环、206路、219路长班空调、221路空调、225路长班空调、 230路空调、233长班、233路、305路、305夜、310路、316路到市公交总公司下车即可。
- 上一篇:南昌治疗荨麻疹医院哪家好?效果怎么样?
- 下一篇:南昌哪个医院看荨麻疹好
- ★★★★★
- 5.0
- 5.0
- 5.0
- 我要评论






科室一览










